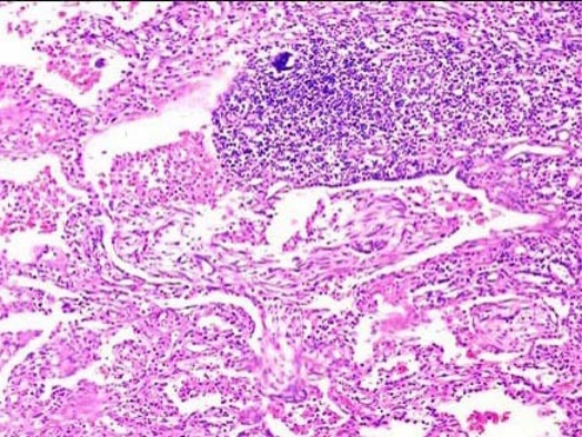
患者,1个月前因高热,咳铁锈色痰伴呼吸困难入院。经治疗临床症状消失,但肺下叶实变灶不消失,手术切除,镜检如图所示,正确的诊断是( )

欢迎免费使用小程序搜题/刷题/查看解析,提升学历,成考自考报名,论文代写、论文查重请加客服微信skr-web

患者,1个月前因高热,咳铁锈色痰伴呼吸困难入院。经治疗临床症状消失,但肺下叶实变灶不消失,手术切除,镜检如图所示,正确的诊断是( )

A.吸入性肺炎
B.矽肺
C.肺肉质变
D.肺脓肿
E.肺癌
正确答案C
访客
邮箱
网址

通用的占位符缩略图

人工智能机器人,扫码免费帮你完成工作


  • 自动写文案
  • 自动写小说
  • 马上扫码让Ai帮你完成工作
通用的占位符缩略图

人工智能机器人,扫码免费帮你完成工作

  • 自动写论文
  • 自动写软件
  • 我不是人,但是我比人更聪明,我是强大的Ai
Top